Hemoglobin türleri nelerdir ve birbirlerinden farkları neler?
Bu yazıda hemoglobin türleri ve aralarındaki farklılıklar detaylı bir şekilde incelenmektedir. Hemoglobin, oksijen taşıma işlevi olan bir protein olarak insan vücudunda önemli bir rol oynar. Yazıda, hemoglobin A, A2, F ve S türlerinin yapısal ve fonksiyonel özellikleri ele alınmıştır.
Hemoglobin Türleri ve FarklılıklarıHemoglobin, kırmızı kan hücrelerinde bulunan ve oksijen taşıma işlevini üstlenen bir proteindir. İnsan vücudunda farklı hemoglobin türleri bulunmakta olup, bu türler hemoglobinlerin yapısal farklılıkları ve işlevsel özellikleri ile birbirlerinden ayrılmaktadır. Bu makalede, hemoglobin türleri, özellikleri ve aralarındaki farklar detaylı bir şekilde ele alınacaktır. Hemoglobin Türleri İnsanlarda başlıca dört hemoglobin türü bulunmaktadır:
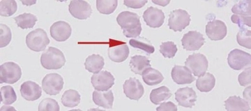
1. Hemoglobin A (HbA) Hemoglobin A, sağlıklı bireylerde en yaygın bulunan hemoglobin türüdür. Yetişkinlerde toplam hemoglobin miktarının yaklaşık %95-98'ini oluşturur. Yapısında iki alfa ve iki beta zinciri bulunur. Oksijen taşıma kapasitesi yüksektir ve hücrelerde oksijenin serbest bırakılmasını kolaylaştırır. 2. Hemoglobin A2 (HbA2)Hemoglobin A2, hemoglobin A'nın bir alt tipi olup, yetişkinlerde toplam hemoglobin miktarının yaklaşık %2-3'ünü oluşturur. Yapısında iki alfa ve iki delta zinciri bulunur. HbA2, genellikle normal bir bulgu olarak kabul edilir ancak bazı kan hastalıkları ve anemilerde artış gösterebilir. 3. Hemoglobin F (HbF)Hemoglobin F, fetüslerde bulunan ana hemoglobin türüdür. Yapısında iki alfa ve iki gamma zinciri bulunur. Hamilelik döneminde fetüsün oksijen taşıma kapasitesini artırmak amacıyla HbF daha fazla üretilir. Doğumdan sonra HbF seviyeleri düşer ve yetişkinlerde %1-2 oranında kalır. HbF, bazı hastalıklarda tedavi edici etki yaratabilmektedir. 4. Hemoglobin S (HbS)Hemoglobin S, orak hücre anemisi olarak bilinen genetik bir hastalıkta bulunan anormal hemoglobin türüdür. HbS, normal hemoglobin A'nın yerini alır ve kırmızı kan hücrelerinin şekil değiştirmesine neden olur. Bu durum, kan akışında tıkanmalara ve çeşitli sağlık sorunlarına yol açar. Hemoglobin Türleri Arasındaki Farklar Hemoglobin türleri arasındaki başlıca farklılıklar şunlardır:
Sonuç Hemoglobin türleri, insan vücudundaki oksijen taşınmasında kritik bir rol oynamaktadır. Her bir tür, kendine özgü yapısal ve işlevsel özelliklere sahiptir. Bu farklılıklar, hemoglobin türlerinin çeşitli hastalıklardaki etkilerini anlamamıza yardımcı olur. Hemoglobinlerin yapısı ve işlevleri üzerindeki araştırmalar, kan hastalıklarının tanı ve tedavisinde önemli bir yere sahiptir. Ek Bilgiler |



















